ارتودنسی

متخصص ارتودنسی
دکتر مریم جاهدمنش

دکتر مریم جاهدمنش متخصص ارتودنسی دارای بورد تخصصی از دانشگاه تهران

(عضو انجمن ارتودنتیست ها)

ارتودنسی چیست ؟

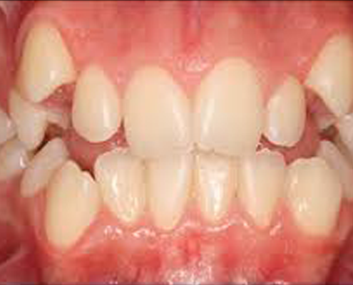
ارتودنسی به طور کلی به معنای ردیف بودن و منظم قرارگرفتن دندان ها در دهان است. البته این نظم شامل حال فک ها نیز می شود به این معنی که گاهی ممکن است فک بالا یا پایین در جایگاه مناسب خود قرار نگرفته باشند و به اصطلاح جلوتر یا عقب تر از جایگاه اصلی خود باشند و حالتی نامتقارن داشته باشند. به این ترتیب این عدم تقارن یا بی انضباطی در قرارگرفتن دندان ها موجب می شود تا فرد رضایت کافی از ظاهرش نداشته باشد. علاوه بر این مسئله که می تواند زیبایی فرد را تحت تاثیر قرار دهد، نامنظم بودن دندان ها و نامتقارن بودن فک ها می تواند مشکلاتی در جویدن، بلعیدن موادغذایی و حتی صحبت کردن فرد به وجود آورد. در این حالت ارتودنتیست ( متخصص ارتودنسی ) به اصلاح رابطه فکی و دندانی کمک می کند و درعین حال به اصلاح الگوی بلع، نحوه تلفظ کلمات، اصلاح تنفس دهانی و حتی درمان خروپف بیمار نیز می پردازد. لازم به ذکر است که درمان ارتودنسی جهت بهبود و بالانس فعالیت عضلات در افرادی مفید است که قدرت تطابق اولیه را داشته باشند. بنابراین از ارتودنسی برای درمان های دندانی، فکی، عضلانی و عادتی استفاده می شود.

Removable Orthodontic

ارتودنسی متحرک

ارتودنسی متحرک

ارتودنسی متحرک از صفحه ای پلاستیکی تشکیل شده است که سیم هایی از کناره آن بیرون زده اند. این سیم ها به دندان ها گیر داده می شوند تا بتوانند بریس ها (braces) را در جای خود نگه دارند. ارتودنسی متحرک استفاده های محدودی دارد. دلیل اصلی آن این است که ارتودنسی متحرک محدود به جابه جایی یک دندان تنها و عریض کردن کمان بالایی یا پایین دهان است. ارتودنسی متحرک به اندازه نوع ثابت دقت ندارد و به همین دلیل نمی تواند برای جا به جایی های پیچیده یا خیلی دقیق استفاده شود. برای اینکه ارتودنسی متحرک تاثیر بیشتری داشته باشد، باید همواره به جز زمان تمیز کردن دندان و ورزش کردن استفاده شود. پس از استفاده اولیه از ارتودنسی متحرک ممکن است به دلیل اشغال فضا توسط صفحات پلاستیکی احساس عجیبی در دهان خود داشته باشید. این که این روش برای شما مناسب تر است توسط متخصص ارتودنسی قابل تشخیص است.

Fixed orthodontics

ارتودنسی ثابت

ارتودنسی ثابت

ارتودنسی ثابت نوعی از ارتودنسی است که نمی تواند توسط بیمار از دهان خارج شود. ارتودنسی ثابت یکی از موثر ترین راه های صاف کردن دندان هاست و می تواند در ترکیب با ارتودنسی متحرک یا ارتودنسی فانکشنال استفاده شود. در حالیکه تعدادی از بیماران از چندین نوع ارتودنسی به طور همزمان سود می برند، بیشتر بیماران از ارتودنسی ثابت استفاده می کنند. در ارتودنسی ثابت هر دندان برای قرار گرفتن در راستای مناسب، دارای براکتی است که به مینای دندان متصل شده است. سیم های انعطاف پذیری به براکت ها وصل شده اند و باعث می شوند که دندان ها به تدریج در موقعیت مناسب قرار بگیرند. در ارتودنسی ثابت، چنانکه دندان به سوی موقعیت مناسب خود پیش می رود، سیم ها تعویض می شوند تا حرکت بعدی دندان را هدایت کنند.در این روش، همه قطعات ثابت است و کسی جز متخصص ارتودنسی نمی تواند آن ها را از دهان خارج کند.

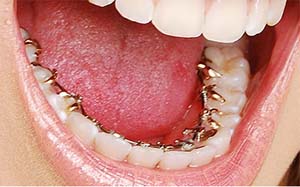
Invisible Orthodontics

ارتودنسی نامرئی

ارتودنسی نامرئی

ارتودنسی نامرئی به نوعی از درمان ارتودنسی گفته می شود که در آن دستگاه درون دهان بیمار قابل مشاهده نیست یا به سختی قابل مشاهده می باشد. امروزه درخواست برای ارتودنسی نامرئی به دلایل زیبایی شناسانه به خصوص در میان بیماران بزرگسال بیشتر می شود. از انواع مختلف آن می توان به پلاک های پلاستیکی نامرئی، براکت های سرامیکی رنگ دندان و ارتودنسی نامرئی داخل دندان یا لینگوال اشاره کرد. متخصص ارتودنسی از روش های مختلف ارتودنسی نامرئی با توجه به خواست بیمار و همچنین شدت مشکلات دندانی او استفاده می نماید. هزینه آن نسبت به ارتودنسی ثابت یا متحرک معمولی بالاتر است و دلیل این گران تر بودن هم تکنیک های پیشرفته کامپیوتری و پیچیدگی های فنی است که در ساخت انواع مختلف بریس های ارتودنسی نامرئی به کار می رود.

Functional Orthodontic

ارتودنسی فانکشنال

ارتودنسی فانکشنال

ارتودنسی فانکشنال که برای اصلاح راستای دندان در فک استفاده می شود. دلیل این نام گذاری را می توان اینگونه عنوان کرد که هنگامی که این دستگاه درون دهان شماست، می توانید به روتین روزانه دهان و دندانتان ادامه دهید. یک نوع از ارتودنسی فانکشنال بلوک دوقلو (Twin Block) نامیده می شود که فرم جداشونده آن به شکل دو بلوک بالایی و پایینی است که مانند دوقلوها همانند یکدیگرند. زمانی که شما دندان هایتان را به صورت گاز گرفتن روی هم قرار می دهید، این بلوک های دوقلو در حالتی قرار می گیرند که آرواره های شما را به موقعیت اصلاح شده شان هدایت می کنند. متخصص ارتودنسی از این نوع ارتودنسی فانکشنال بیشتر در بیماران در حال رشد استفاده می نماید چرا که بیشترین تاثیر را در اصلاح عقب نشینی فک، دندان های نامتعارف و فک های جلو آمده دارد.

Lingual Orthodontic

ارتودنسی لینگوال

ارتودنسی لینگوال

ارتودنسی لینگوال همانند بریس های (braces) ثابت است با این تفاوت که پشت دندان نصب می شود. کلمه لینگوال از کلمه ای لاتین به معنای “نزدیک به زبان” سرچشمه می گیرد. دلیل این نام گذاری مشخصا به خاطر نزدیکی این دستگاه به زبان بوده است. ارتودنسی لینگوال در حین درمان تغییری در ظاهر فرد ایجاد نمی کند و درون دهان قابل مشاهده نیست. این نوع از درمان توسط بریس های ثابتی که به سمت داخلی دندان متصل می شوند، برای اصلاح دندان های ناراست و مشکلات فک استفاده می شود. به این ترتیب بدون اینکه دستگاه فلزی داخل دهان دیده شود، دندان ها به تدریج به موقعیت درست خود جابه جا می شوند. با این وجود ارتودنسی لینگوال برای همه بیماران مناسب نیست و می تواند مشکلاتی را برای جویدن غذا و گفتار به وجود بیاورد. تشخیص آن به عهده متخصص ارتودنسی می باشد.

Damon Orthodontic

ارتودنسی دیمون

ارتودنسی دیمون

ارتودنسی دیمون (Damon) روشی است که در آن نیازی به کش ها یا گره های فلزی نیست. بریس های (braces) سنتی معمول با کش گره خورده اند که باعث فشار و اصطکاک می شوند. بریس های دیمون مکانیزم لغزشی برای نگه داشتن سیم دارند که به دندان ها اجازه می دهد آزادانه تر حرکت کنند. بسیاری معتقدند که دیمون راه جدیدی برای درمان بیماران است و تنها به تکنولوژی جدید بریس ها محدود نمی شود. با ارتودنسی دیمون به روش بدون گره می توان درمانی را بدون فشار تجربه کرد. بریس های دیمون طوری طراحی شده اند که بسیار ظریفند و در عین حال تمیز کردنشان آسان است. از مزایای این روش که فاقد گره های کشی است این است که باکتری کمتری در دندان جمع شده و در نتیجه بهداشت دهان و دندان در طول درمان بیشتر حفظ می شود.در این خصوص عمل به توصیه های متخصص ارتودنسی ضروری می باشد.

ارتودنسی قبل از جراحی فک

شبکه های اجتماعی : اینستاگرام دکتر مریم جاهدمنش
مشاهده پرسش و پاسخ های ارتودنسی
مشاهده نمونه تصاویر قبل و بعد ارتودنسی
شبکه های اجتماعی : فیسبوک دکتر مریم جاهدمنش
توقعات افراد از درمان ارتودنسی چیست؟

بسیاری از افرادی که به متخصص ارتودنسی مراجعه می کنند، خواهان تغییری در بدن از جمله در صورت، لبخند و یا صحبت کردن خود هستند و تصورشان از ارتودنسی این است که با این کار تغییری در وضعیت زندگی، مشکلات فردی، شغلی، اجتماعی آنها ایجاد میشود. این گونه افراد معمولاً یا در صورت خود اصلاً ناهنجاری ندارند یا مشکل آن ها بسیار خفیف است که نتیجه ی دستکاری در این گونه موارد چه دستکاری ارتودنسی و چه جراحی زیبایی گاه برعکس و یا حتی اندك است، چون فرد از ابتدا ناهنجاری نداشته و پتانسیل چنین تغییراتی نفعی به حال او نخواهد داشت و نتیجه ی دستکاری عضو طبیعی و سالم به هم خوردن هارمونی و ایجاد حالت مصنوعی و عروسکی بوده که زیبا نیست.

برای شروع درمان ارتودنسی چه اقداماتی باید انجام شود؟

درمان صحیح ارتودنسی نیاز به نظم خاص و آماده سازی بیماران دارد. این آماده سازی شامل جرم گیری، ترمیم پوسیدگی ها، کشیدن دندان ها (در صورت نیاز) و آموزش بهداشت است. شرط اصلی درمان ارتودنسی موفق، همکاری بیمار و عمل به توصیه های متخصص ارتودنسی است. چون درمان در مدت زمان نسبتا طولانی انجام می گیرد؛ بنابراین علاقه و اشتیاق بیمار در به دست آوردن نتیجه ای خوب، تاثیرگذار است.

درمان های ارتودنسی چه مدت طول می کشد؟

مدت درمان های ارتودنسی و یا بهتر بگوییم سرعت حرکت دندان ها به تراکم (سختی) استخوان بیمار، میزان تحلیل و تشکیل استخوان، سن و جنس بیمار و نوع و شیوه درمانی بستگی دارد. به طور کلی سرعت مناسب برای حرکت دندان ها از یک ناحیه به ناحیه ی دیگر در دهان، حداکثر یک میلی متر در هر ماه است که بستگی به عوامل زیادی مانند سن و جنس بیمار و … دارد؛ مثلا طول مدت درمان در بیماران کم سن کمتر از افراد مسن و یا در خانم ها کمتر از آقایان است. بسته به نوع مشکل ارتودنسی فرد، زمان درمان می تواند از چند ماه و در درمان های پیچیده تا چند سال باشد.این موضوع توسط متخصص ارتودنسی قابل تشخیص است.

سن مناسب برای درمان ارتودنسی چیست؟

ارتودنسی برای تمام گروه های سنی قابل اجراست، ولی بهتر است والدین از سنین پایین و در دوره دندان های شیری، کودکان خود را به صورت دوره ای به متخصص ارتودنسی نشان دهند. این کار، در تشخیص زود هنگام عادات، کمبود فضای دندانی در قوس و مشکلات فکی کمک می کند. با تشخیص این مشکلات می توان از درمان های پیشگیری جهت جلوگیری از شدید شدن مشکل در سنین آینده استفاده کرد. زیرا در سنین پایین تر می توان از بسیاری مشکلات دندانی جلوگیری کرد و یا از شدت آنها کاست، بنابراین هم مدت زمان درمان کمتری و هم هزینه کمتری متحمل می شوند.

آیا لقی در درمان های ارتودنسی طبیعی است؟

اصولا لقی دندان ها حین درمان، امری طبیعی و عادی است، چون در ارتودنسی، دندان باید میزانی از لقی را به دست آورد تا بعد بتواند حرکت کند، البته این لقی بسیار کم و توسط بیمار قابل احساس است. لقی دندان در حد طبیعی، به طور قطع بعد از درآوردن دستگاه های ارتودنسی از بین می رود و بیمار نباید از این موضوع ناراحت باشد. اگر لقی دندان ها حداکثر یک ماه بعد از ارتودنسی باقی بماند، برای ارزیابی بیشتر باید به متخصص ارتودنسی خود مراجعه نماید.

چرا بعضی افراد نسبت به ارتودنسی احساس ترس دارند؟

شکل نازیبای دستگاه های ارتودنسی، ترس از کشیدن دندان یا بروز درد احتمالی از جمله مواردیاست که موجب می شود مردم نسبت به ارتودنسی احساس ترس داشته باشند. ترسی که کاملا بی مورد است و تنها باعث می شود تا آنها درمان و اصلاح ناهنجاری های دندانی و فکی خود را به تاخیر بیندازند. درحالی که امروزه با توجه به پیشرفت تکنولوژی و وجود سیستم های مدرن در مراکز و کلینیک های ارتودنسی، متخصص ارتودنسی در سریع ترین زمان ممکن و بدون درد می تواند به درمان ناهنجاری های بیمارش کمک کند. بنابراین باید بدانیم درصورتی که به متخصص ارتودنسی مراجعه کنیم، نباید به هیچ وجه نگرانی نسبت به این موضوع داشته باشند.

درمان ارتودنسی در چه سنی می بایست انجام شود؟

بهتر است والدین از سنین پایین و در دوره دندان های شیری، کودکان خود را به صورت دوره ای به متخصص ارتودنسی نشان دهند. تغییرات فکی در محدوده سنی خاصی امکان پذیر است و معمولا متخصص ارتودنسی پس از حذف عامل به وجودآورنده نسبت به تغییرات ابعاد فکی در جهت های مختلف اقدام می کند.

دستگاه ارتودنسی نامرئی

آیا در درمان های ارتودنسی ، درد وجود دارد؟

همیشه یک علامت هشداردهنده برای هر عملکرد غیرمعمول و ناصحیح در بدن به نام "درد" وجود دارد. معمولا نیروهای زیاد باعث درد مداوم و بیش از حد معمول می شوند. منظور از حد معمول این است که اغلب بیماران در روزهای اول درمان و یا در طول درمان ارتودنسی ، …

ارتودنسی و مشکل نامنظم بودن دندان ها

بیشتر افرادی که به متخصص ارتودنسی مراجعه می کنند از نامنظم بودن دندان هایشان شکایت دارند. مرتب کردن دندان ها موجب قرار گرفتن آنها در موقعیت مطلوب داخل فک می شود که نتیجه آن پخش متوازن نیرو در تمام جهات و کاهش فشار روی ریشه دندان ها است. از طرف دیگر منظ…

نوع درمان ارتودنسی بر چه اساسی انتخاب می شود؟

نوع درمان ارتودنسی بر چه اساسی انتخاب می شود؟ در موارد خاصی نامرتبی و فرم بد دو تا سه دندان را می توان با درمان های جایگزین ارتودنسی مثل ترمیم زیبایی رفع کرد، اما باید توجه داشت که استفاده ی بی مورد از این درمان ها درحالت پیچیده ی ارتودنسی باعث…
هزینه ارتودنسی چقدر است؟

هزینه ارتودنسی چقدر است؟

هزینه ارتودنسی چقدر است؟ هزینه ارتودنسی برای هر فردی با توجه به مقدار مشکل دندان ها و فک ها می تواند متفاوت باشد. همچین عواملی در افزایش یا کاهش هزینه ارتودنسی دخالت دارد که این عوامل می تواند شامل موارد زیر باشد: شدت ناهنجاری نوع مشکل …
علل کشیدن دندان عقل

علت کج شدن دندان ها

علت کج شدن دندان ها دندان عقل گفته می شود رویش دندان های عقل یکی از علت های کج شدن دندان ها در فک ها و دندان های دائمی جلو است. البته باز هم در این مورد اتفاق نظر وجود ندارد اما بیشتر دندان پزشکان توصیه می کنند که دندان های عقل قبل از 25 سالگ…
کلیه حقوق مادی و معنوی وب سایت محفوظ است :: طراحی سایت و سئو سایت توسط آرتیمان وب
This is the free demo result. You can also download a complete website from archive.org.